1月15日のロレッタちゃん
珍しい光景はサインだったのかも…
1月18日(土)
夜、寝る前のおやつリンゴに食いつかず…(そうゆうことあります。)
びわの葉スルーは気になりつつ、オオバコはすぐ食べたので、
ヒーターonして一晩、明け翌朝、ケージトレーに糞が5個だけ…( ̄ェ ̄;)
くわえて牧草など変わらぬ景色
朝ごはんは食いつかず、牧草ペレットは少し食べる。
状況はすんごい焦る要素を含んでるが本人はこんな見栄えで…
そういえば、日中おしっこをしてなかった+部屋んぽでもたぶんしてない、
そして、夜中のうちのおしっこ形跡なし、…丸1日以上か…
お腹の張りはもとから大きいからわかりづらい…
動きや息使いに異様さまでは感じないが、日曜は午後休診だし…
1月19日(日)病院。
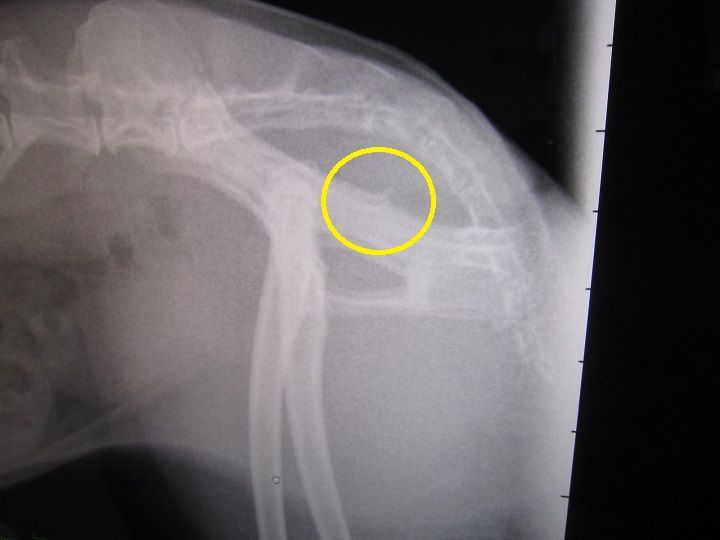
昨夜からの流れを話しし、診察、レントゲン
閉塞所見はありません
もちろん心臓も小さくなってないし
若干のガスはあれど、強いて指摘するならばレベル
で、ちゃんと出番待ちしとる(。・m・)
いつも感心するウンコ影“〆( ̄▽ ̄*)
と、胃腸に大きな問題はなさげだったのだが…
脂肪、すご過ぎやん…( ̄ェ ̄;)
前回との比較…
前回… とは、最初、あんまりにも食べない食べないで、きちんと痩せた状態、だったので余計かもですが、それでもマズい…
体重の数字や触った感じで気にはなってたから、
ずっとペレットは朝晩5gずつ。…だのに、増える体重、結果こんな…
他にもこんな子ざらにいます、でも、いるからOKて話ではなく、
体質やから仕方ない、って、片付けるには早すぎると思うし、
何より肥満って何かにつけてリスクの確率は通常より上がるしな。
ひとまず、カロリー低いペレットに変更はしましたが、
ペレットを減らすと、通常糞を食べる量が増えるとかいう私読みだったり…
運動も、もっと心がけぇ、牧草ペレットは緑の方に変えようとか
できる範囲でいろいろやっていきつつ、経過見て行きましょう、と。
(内臓脂肪が多いって話で病気とかそんなんではありません)
点滴、投薬の処置、飲み薬を頂いて帰路
ケージinすぐ3番刈りを食べ出し小さい小さいのんをポロポロ…
いつもの排泄場所にて排泄スタイル、やっとこおしっこ
ひとまず、ゆっくり休んでもらって夜、
投薬は嫌がる拒絶力が案外マシやん、思たら終盤口が動かないので、
どっかからしら、タラァ~ て、されたかも。なので、
ペレットに染ませる策に変更、問題なく早々完食。
まずまずな動きを撮ろうとしたんやけど…
出かけたついでにお野菜で色つけてみるも、そーんなに食いつかず、
もっと動いてもらうべくエリア拡大したが行く様子無いので様子見、
あとは部屋んぽ時間も延長してます~ヾ(@゜▽゜@)ノ
そして、何故か、ペレットは食べるが牧草消費がガタ落ち、
じょじょに復調してますが、食べるところ見せてくれない率が上がったかも…
振り出しに戻った?みたいな…
別な日の待合室でのロレちゃん
案外、ホントは甘えたさんでかまってちゃんなのかもよ、って
ええように捉えてみるっ!
叶えてくれるご家族が見つかりますように…。
【だるまうさぎレスキュー・別館】も覗いてみて下さいね

『手作り雑貨と保護うさぎ Vol.2』
2/9(日) 3/15(日)
詳しくはイベントブログにて

里親募集という選択肢があること、多くの方に知ってもらうため
保護うさぎさんたちへのチャンスが広がるよう…
保護うさぎさんたちへのチャンスが広がるよう…

Facebookページではブログの更新情報プラスαを発信しています
































































